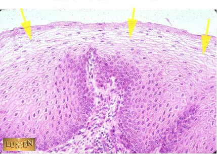
What kind of epithlium is this?
Answer
Non cornified stratified squamous