Loyola University Medical Education Network Part 12: Lymphoid Tissues and Organs

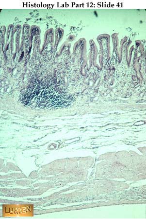
Slide 41

This slide shows an isolated, single primary lymph nodule in the wall of the stomach stained dark purple because of the small lymphocyte accumulation. Such nodules are often found in the wall of tracts that exit to the outside and represent a first line of defense against foreign substances that might enter the body via these routes. Nodules like this in the GI tract are thought to be one source of B-type lymphocytes producing IgA antibodies.

Slide 42

Sometimes, as in this tonsil lying at the entrance to the GI tract, nodules are scattered within an otherwise diffuse mass of lymphoid tissue. In this particular field the nodules are secondary nodules, each containing a pale germinal center and a dark peripheral ring of cells.

Slide 43

Detail of secondary nodule. The germinal center is pale because of the presence of lymphoblasts and large lymphocytes with larger, paler nuclei. The small lymphocytes typical of circulating blood, with their smaller, darker nuclei, are pushed to the rim of the nodule, as are the plasma cells differentiating in the area.

Slide 44

Concentration of small lymphocytes, as found in densely packed lymphoid areas. You are essentially seeing just their nuclei.

Slide 45

Small lymphocytes intermixed with larger cells, many of them unidentifiable in a section such as this.

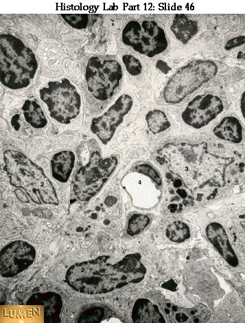
Slide 46

Survey EM of lymph node from a rat. 1=small lymphocytes; 2= medium-sized lymphocytes; 3= macrophage with particles in secondary lysosomes; 4= blood capillary with endothelial cell lining.

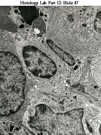
Slide 47

Various cell types found within red pulp in the rat spleen.

Slide 48

Low power view of lymph node. The darker cortex at the periphery of the node has nodules, some of which show pale, mitotically active germinal centers. In the middle of the lymph node is the medulla with its dark cords of dense lymphocyte population. The medullary cords are surrounded by paler lymph channels (the medullary sinuses) which have relatively fewer lymphocytes. Lymphatic afferent vessels enter the node at the periphery, through the capsule (blue c.t. here), pouring lymph into the sinus system of the node. The lymph "percolates" through the cortical and medullary sinuses and leaves via the efferent lymphatics near the hilus of the node. While looking at this picture, be reminded that the nodules of the outer cortex and the cords of the medulla are included among the "homing areas" for B-cells, plasma cells, and helper T-cells. The thymic dependent area, where the majority of T-cells are found, is the deeper part of the cortex, seen here as the dense, diffuse lymphoid area lying below the cortical nodules and above the medullary cords. It is within this inner cortex that the postcapillarv venules also lie; they have an unusually high endothelium, and it is through their walls that lymphocytes of the bloodstream enter the substance of the node.

Slide 49

Detail of outer surface of lymph node, with pale c.t. capsule on the outside, sending an extension (trabecula) down into the substance of the node as a frame-work. Pale sinus channels can be seen lying immediately beneath the capsule (subcapsular sinus) and surrounding the trabecula (cortical or trabecular sinuses). From these superficial sinuses, lymph then flows into the deep medullary sinuses (not pictured here). Stellate reticular cells can be seen spanning the sinuses, where lymphocytes are less dense. Reticular cells support the lymphocytes of the denser lymphoid tissue as well, but are harder to see there.

Slide 50

In this silvered preparation, counterstained with eosin, you see the dense collagenous capsule and trabecula and their continuity with the black reticular fibers of the stroma of the node. Notice that the reticular fibers span the paler sinuses and pervade the denser cortical tissue also. Like bone marrow, the lymph node characteristically has "free cells" (in this case mainly lymphocytes) lying in an all-pervading reticular tissue stroma. Another organ structured this same way is the spleen.

Slide 51

Detail of reticular cell, this one showing its stellate processes. The life history and possible functions of reticular cells have been the subject of considerable theorizing in the past, but the current work shows that they are simply supportive and produce reticular fibers. Since reticular fibers are basically thin collagen fibers, some people are now even equating reticular cells with specialized fibroblasts that produce only reticular fibers in certain locations of the body. The "cleaning" of lymph, and all of the major phagocytic activity of lymph nodes, seem to be carried out by true macrophages, whether fixed or wandering in from the bloodstream (monocytes).

Slide 52

Pale medullary sinuses surrounding darker medullary cords. You can see many stellate reticular cells which, with reticular fibers, make a meshwork through the sinuses. Lymph "percolates" through the meshes of the sinuses while debris of foreign matter in it is phagocytized. Lymph nodes thus act as filters for the connective tissue fluid compartment of the body.

Slide 53

The extent of the reticular fiber network is shown in this silvered preparation. The network pervades both sinuses and cords. Reticular cells, of course, accompany the fibers throughout.

Slide 54

In the connective tissue capsule outside this node, notice some rather large, thin-walled, irregular-shaped, sometimes collapsed-looking vessels. These are afferent lymphatics bringing lymph to the node. This lymph is mainly tissue fluid, with relatively few lymphocytes included. Lymphocytes, instead, primarily reach the lymph node via the bloo dstream and enter through the high endothelium of postcapillary venules.

Slide 55

This is the hilar region of a node where lymph leaves via efferent lymphatics and where blood vessels both arrive and leave. In the upper left center, notice a large, irregular lymphatic vessel showing a pair of thin valve leaflets.

Slide 56

Palatine tonsil made up basically of epithelial crypts extending into the connective tissue coats of the pharyngeal wall. You can see the luminal lining of stratified squamous epithelium to the right, continuing down into the crypts. This epithelium plus many lymphatic nodules is diagnostic for tonsil. The nodules pictured here show pale germinal centers. Tonsils are a first line of defense in the GI tract.

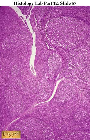
Slide 57

H&E stain of tonsil with stratified squamous epithelium lining the lumen of crypts. Often such epithelium is all but hidden by lymphocytes wandering through it. Note lymphatic nodules with germinal centers, indicating active production of plasma cells from B-lymphocytes.

Slide 58

Now the spleen! It is characterized by randomly scattered (dark) lymphatic nodules. Large arteries and veins, appearing empty here, travel in connective tissue trabeculae. There is no division into cortex and medulla.

Slide 59

Panoramic view of spleen, staining bright pink throughout the "red pulp" because of the presence of so many filled and distended blood sinusoids. Scattered at random throughout the red pulp are aggregates of lymphocytes ("white pulp", also known as Malpighian bodies). Notice the pink structures within the white pulp. These are the central arterioles, and they are diagnostic features of the spleen. The arteriole characteristically has a very small lumen but a definite smooth muscle coat. Actually, white pulp is arranged in long "sleeves" of lymphatic tissue (PALS: periarterial lymphatic sheaths) following along the length of the arteries; here we are cutting the arteries and their sheaths in cross-section. Arteries leave the trabeculae quite early to travel through the pulp, while veins tend to remain within the trabeculae. The very large, mostly empty vessel seen here is a trabecular vein.

Slide 60

Closer examination of white pulp with two eccentrically placed "central arterioles" (quite pink here). A germinal center has formed here, displacing the artery to the edge of the area. As always, the germinal center indicates active production of plasma cells from B-lymphocytes. Helper T-cells mingle with the plasma cells at the rim of the nodule. Meanwhile, the majority of splenic T-cells reside in the non-nodular portions of the periarterial sheath immediately surrounding the central arteriole. Macrophages tend to congregate in the marginal zone between white pulp and red pulp, and here they begin to process red blood cells for possible breakdown and phagocytosis.

Slide 61

Detail of sinusoid in red pulp. Its lining is a discontinuous endothelium, so blood cells can easily move in and out.

Slide 62

This silvered slide of red pulp is a reminder that the supportive stroma of the spleen, like that of lymph node and bone marrow, is composed of reticular cells and reticular fibers. This network extends into white pulp as well.

Slide 63

Seen here as pink connective tissue strands are the outer splenic capsule and its continuation into a trabecula. There are some sinusoids, filled with blood, to the left. The red pulp tissue between splenic sinusoids is often called cords of Billroth. The sinusoids of spleen are comparable structurally to the sinusoids of bone marrow.

Slide 64

Splenic phagocytes (macrophages) loaded with yellowish-brown hemosiderin particles ingested during the breakdown of dead red blood cells. The spleen filters and "cleans" blood in the same way that the lymph nodes filter lymph.

Slide 65

Panoramic view of the infant thymus, showing its lobulated structure. Within each lobule is a dark cortex and pale medulla. There are no round nodules or germinal centers in the cortex, just diffusely and densely packed lymphocytes. The thymus is seeded by lymphocytic stem cells very early in life and is particularly active in the production of lymphocytes in the young person. Those lymphocytes which resided in the thymic cortex early in life are forever after "thymus dependent"-cells , no matter where they reside in the body later on.

Slide 66

Survey micrograph of the thymic cortex of the rat. 1= small lymphocytes; 2= medium-sized lymphocytes.

Slide 67

The paler thymic medulla shows some bright pink Hassall's corpuscles. They are diagnostic features for thymus.

Slide 68

Detail of Hassall's corpuscle, with concentric layers of keratinizing epithelial cells. Although the significance of the corpuscles is uncertain, they are apparently formed from the epithelioid stromal cells.

Slide 69

Panoramic view of adult thymus, largely replaced with adipose tissue. There are recognizable remnants of thymic lymphatic tissue, however, and Hassall's corpuscles are still present in the medulla.

prev main next

John A. McNulty Last Updated: August 12, 1996