Slide 9

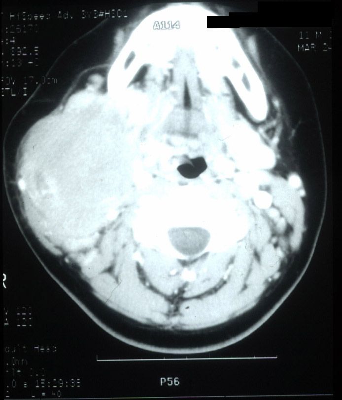
Axial CT scan illustrates a large right cervical mass. This child was diagnosed with Burkitt's lymphoma.

Next

Previous